Thêm hệ thống nội soi phóng đại hình ảnh 150 lần phục vụ chẩn đoán, điều trị ung thư
Bệnh viện K cơ sở Quán Sứ vừa trang bị 8 hệ thống máy nội soi mới, trong đó nổi bật là Olympus EVIS X1 hiện đại nhất hiện nay đi kèm với các dây XZ1200 và EZ1500 cho chức năng nhuộm màu ảo cùng phóng đại hình ảnh quang học tới 150 lần giúp chẩn đoán chính xác tổn thương ung thư và can thiệp các tổn thương một cách chính xác.

Hệ thống nội soi hiện đại được ứng dụng trong tầm soát phát hiện sớm, chẩn đoán ung thư đường tiêu hóa.
Theo số liệu ghi nhận ung thư tại Việt Nam, ung thư thực quản nằm trong 15 bệnh ung thư thường gặp nhất với khoảng 3.686 ca chẩn đoán mới, 3.470 ca tử vong mỗi năm. Đáng chú ý, phần lớn bệnh nhân ung thư thực quản được phát hiện ở giai đoạn muộn với các triệu chứng rõ ràng như nuốt vướng, nghẹn tăng dần, ho khàn tiếng do khối u xâm lấn vào tổ chức lân cận, giai đoạn này thường không thể phẫu thuật được, điều trị hóa xạ trị đồng thời thường được chỉ định nhưng tiên lượng không quá khả quan.
Việc bệnh nhân đến các cơ sở y tế khám bệnh ở giai đoạn muộn khiến hiệu quả chữa bệnh bị giảm rất nhiều. Trong khi đó, chẩn đoán bệnh ở giai đoạn sớm có vai trò quyết định trong điều trị và tiên lượng bệnh lý ung thư thực quản giúp tăng hiệu quả và giảm chi phí điều trị đáng kể. Theo nhiều nghiên cứu tại Nhật Bản, tỷ lệ sống sau 5 năm của nhóm bệnh nhân phát hiện sớm có thể đạt hơn 90%.
Ung thư thực quản sớm là tổn thương ung thư khu trú tại lớp niêm mạc và dưới niêm mạc, chưa xâm lấn vào cơ thực quản. Trước đây, việc chẩn đoán ung thư thực quản chủ yếu dựa vào nội soi xác định tổn thương và sinh thiết làm xét nghiệm mô bệnh học. Nhưng nội soi ống mềm với ánh sáng trắng thường khó phát hiện được tổn thương sớm tại thực quản do tổn thương nhỏ và có màu sắc tương đối đồng nhất với niêm mạc chung quanh.
.png)
Kỹ thuật viên đang thực hiện đánh giá tổn thương thực quản qua hệ thống nội soi hiện đại
Các bác sĩ Bệnh viện K sử dụng hệ thống máy nội soi nhuộm màu phóng đại Olympus EVIS X1 hiện đại giúp hình ảnh sắc nét, hiển thị rõ tổn thương dù là nhỏ nhất, có chức năng nhuộm màu bằng ánh sáng và phóng đại lên đến 150 lần, giúp phân tích rõ ràng vi cấu trúc và vi mạch máu của tổn thương, đưa ra nhận định chính xác về tính chất tế bào học của tổn thương, phân biệt tổn thương ung thư và không ung thư từ đó đưa ra hướng can thiệp kịp thời cho người bệnh.
Tiến sĩ, bác sĩ Bùi Ánh Tuyết, Trưởng khoa Nội soi thăm dò chức năng cho biết: Mục đích của nội soi phóng đại là giúp phát hiện sớm và phân biệt các tổn thương ung thư đường tiêu hóa thường gặp ở dạ dày, thực quản, đại trực tràng. Việc ứng dụng các công nghệ xử lý hình ảnh tiên tiến để chẩn đoán và phân loại ung thư thực quản không chỉ đơn thuần là để tầm soát, phát hiện ung thư ở giai đoạn sớm mà còn giúp bác sĩ điều trị tổn thương ung thư ở ngay giai đoạn sớm bằng can thiệp qua nội soi.
Mới đây, một bệnh nhân nam 63 tuổi, tiền sử hút thuốc lá nhiều năm khi nhập viện đã được chỉ định nội soi tiêu hóa trên trong chương trình khám sức khỏe định kỳ. Quá trình tầm soát ung thư vùng họng-thực quản được thực hiện bằng công nghệ NBI ngay từ khoang miệng, hạ họng-thanh quản đến toàn bộ thực quản. Nội soi phóng đại với hệ thống Olympus X1 và dây soi EZ1500 cho phép quan sát rõ vi mạch bề mặt đã phát hiện tổn thương gợi ý ung thư biểu mô vảy thực quản giai đoạn sớm ở lớp niêm mạc, có chỉ định điều trị bằng cắt tách dưới niêm mạc qua nội soi (ESD). Đây là phương pháp can thiệp tối thiểu, nhằm hạn chế xâm lấn, giúp tiết kiệm chi phí, đồng thời cải thiện thời gian sống và chất lượng cuộc sống của người bệnh. Sau can thiệp ESD, bệnh nhân hồi phục tốt và xuất viện sau 2 ngày.
Một bệnh nhân nam 67 tuổi, tiền sử nghiện rượu và hút thuốc lá khi sử dụng hệ thống nội soi Olympus EVIS X1 với công nghệ NBI phát hiện một tổn thương kích thước khoảng 10mm tại thực quản. Dựa trên hình ảnh nội soi và kinh nghiệm chuyên môn trong đánh giá ung thư sớm, các bác sĩ xác định tổn thương đã vượt quá chỉ định điều trị qua nội soi và được khuyến cáo phẫu thuật. Sau phẫu thuật, kết quả mô bệnh học xác định ung thư biểu mô thực quản đã xâm lấn vào lớp dưới niêm mạc, không phù hợp với các phương pháp can thiệp nội soi.
Trường hợp này cho thấy vai trò quan trọng của nội soi công nghệ cao kết hợp với kinh nghiệm lâm sàng trong việc đánh giá chính xác giai đoạn bệnh, từ đó lựa chọn phương pháp điều trị phù hợp, tối ưu hiệu quả và tránh các can thiệp không cần thiết.
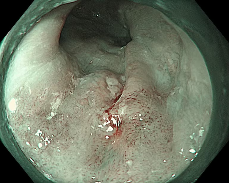
.png)
Hình ảnh thực quản tổn thương được phát hiện qua hệ thống nội soi thế hệ mới.
Để phòng ngừa ung thư thực quản, các bác sĩ khuyến cáo mọi người nên hạn chế ăn nhiều thịt, chất béo có nguồn gốc từ đạm động vật; bổ sung đầy đủ chất xơ từ lúa mạch, trái cây, rau tươi, các vitamin E, C, A… và duy trì chế độ sinh hoạt năng động, luyện tập thể dục thường xuyên.
Với những người có tiền sử bệnh lý đường tiêu hóa, trong gia đình có người thân từng mắc ung thư thực quản, dạ dày, đại tràng... hoặc khi có triệu chứng sụt cân không rõ lý do, nuốt vướng nghẹn, đầy bụng… thì nên đi khám ngay để tầm soát, phát hiện và điều trị.
Các bác sĩ cũng cảnh báo, nếu như trước đây, người mắc ung thư thực quản thường gặp ở độ tuổi trên 50 thì giờ đây căn bệnh này có xu hướng gia tăng và trẻ hóa. Đó là hồi chuông cảnh báo, mọi người cần đi khám sức khỏe định kỳ, tầm soát phát hiện sớm để điều trị kịp thời.